Categories: ΚΟΣΜΟΣ

Άγνωστος προϊστορικός ιός βρέθηκε κατεψυγμένος σε γκουλάγκ στη Σιβηρία

Σύμφωνα με το ΑΠΕ – ΜΠΕ Γάλλοι επιστήμονες ανακάλυψαν στην παγωμένη Σιβηρία έναν άγνωστο έως σήμερα ιό γιγάντιων διαστάσεων και σκοπεύουν να τον «αναστήσουν» στο εργαστήριό τους. Είναι άγνωστο κατά πόσο ο ιός είναι επικίνδυνος για τα ζώα ή τον άνθρωπο.

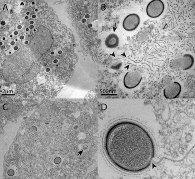
Οι ερευνητές, με επικεφαλής τον Ζαν-Μισέλ Κλαβερί του Πανεπιστημίου Αιξ-Μασσαλίας και του Εθνικού Κέντρου Επιστημονικών Ερευνών (CNRS) της Γαλλίας, που έκαναν τη σχετική δημοσίευση στο περιοδικό της Εθνικής Ακαδημίας Επιστημών (PNAS) των ΗΠΑ, σύμφωνα με το Γαλλικό Πρακτορείο, ανέφεραν ότι ο ιός Mollivirus sibericus βρέθηκε κατεψυγμένος στην περιοχή της Κολίμα στη βορειοανατολική Ρωσία, εκεί όπου κάποτε υπήρχε ένα μεγάλο σοβιετικό στρατόπεδο κράτησης ανεπιθύμητων (γκουλάγκ).

Ο ιός εκτιμάται ότι έχει ηλικία περίπου 30.000 ετών και το μήκος του φθάνει τα 0,6 μικρόμετρα, πολύ μεγάλο για τα δεδομένα των ιών. Γιγάντιος θεωρείται ένας ιός, όταν ξεπερνά το μισό μικρόμετρο (χιλιοστό του χιλιοστού).

Είναι ο τέταρτος προϊστορικός ιός που ανακαλύπτεται μετά το 2003 (και ο δεύτερος από την ίδια ερευνητική ομάδα) και σε αυτό βοηθά η κλιματική αλλαγή που σταδιακά λιώνει τους αρκτικούς και υποαρκτικούς πάγους της Σιβηρίας.

Ο Κλαβερί έκρουσε τον κώδωνα του κινδύνου ότι καθώς σχεδιάζεται η αξιοποίηση του ορυκτού και άλλου πλούτου των κάποτε παγωμένων σιβηρικών εδαφών, υπάρχει ο κίνδυνος να βρουν πρόσφορο έδαφος ξεχασμένοι παθογόνοι μικροοργανισμοί για να αναβιώσουν αναξέλεγκτα.

«Αν δεν είμαστε προσεκτικοί και εκβιομηχανίσουμε αυτές τις περιοχές χωρίς τις κατάλληλες προφυλάξεις, τότε ρισκάρουμε να ξυπνήσουμε μια μέρα ιούς όπως της ευλογιάς, που νομίζαμε ότι είχε εκριζωθεί» προειδοποίησε ο Κλαβερί.

Οι γάλλοι επιστήμονες θα προχωρήσουν σε ελεγχόμενη αναβίωση του ιού, βάζοντάς τον μαζί με μονοκύτταρες αμοιβάδες, ώστε να ελέγξουν τον βαθμό επικινδυνότητάς του. Οι ίδιοι ερευνητές είχαν ανακαλύψει, επίσης στη Σιβηρία, πριν από 12 χρόνια, τον γιγάντιο ιό Pithovirus sibericum και τον είχαν «ξυπνήσει» στο εργαστήριό τους.

Αντίθετα με τους περισσότερους ιούς που κυκλοφορούν σήμερα και προς μεγάλη έκπληξη των επιστημόνων, οι αρχαίοι ιοί που χρονολογούνται από την τελευταία εποχή των πάγων, είναι όχι μόνο μεγαλύτεροι, αλλά και πιο πολύπλοκοι γενετικά. Ο Mollivirus έχει πάνω από 500 γονίδια, ενώ ένας άλλος, ο Pandoravirus, που είχε ανακαλυφθεί το 2003, έχει 2.500. Συγκριτικά, ο σύγχρονος ιός της γρίπης Α έχει μόνο οκτώ γονίδια.

Θοδωρής Χονδρόγιαννος

Share
Published by
Θοδωρής Χονδρόγιαννος